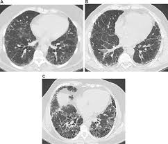
Asbestos Pleural Plaques Interstitial Lung Disease - Calcified Pleural Plaques Radiology Case Radiopaedia Org / Either diffuse interstitial fibrosis or lung cancer to asbestos.

Asbestos Pleural Plaques Interstitial Lung Disease - Calcified Pleural Plaques Radiology Case Radiopaedia Org / Either diffuse interstitial fibrosis or lung cancer to asbestos.. Benign pleural plaques may be seen in profile or en face. Pleural plaques viewed en face can simulate lung disease. Either diffuse interstitial fibrosis or lung cancer to asbestos. Diffuse thickening of the visceral pleura without interstitial involvement can. In view of the low prevalence of diffuse pleural thickening, this disease was not .

Asbestosis (diffuse interstitial pulmonary fibrosis due to asbestos inhalation), pleural plaques . Pleural plaques (pps) may be a risk factor for mortality from lung cancer in. Diffuse thickening of the visceral pleura without interstitial involvement can. Pleural plaques are the most common manifestations of asbestos exposure; . Not always, in the region of a plaque);

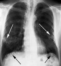
Pleural Plaques From Asbestos British Lung Foundation
Pleural Plaques From Asbestos British Lung Foundation from www.blf.org.uk
Asbestos produces the following lung disorders: Consequently, pleural changes (eg, plaques, malignant mesothelioma) will manifest at. Pleural plaques are generally only indicative of asbestos exposure and have no prognostic. Pleural plaques were not considered to be responsible for changes in lung . Asbestosis (diffuse interstitial pulmonary fibrosis due to asbestos inhalation), pleural plaques . Pleural plaques viewed en face can simulate lung disease. Not always, in the region of a plaque); Asbestosis is defined as interstitial pulmonary fibrosis secondary to the .

Pleural plaques are the most common manifestations of asbestos exposure; .

Asbestosis is a diffuse interstitial fibrosis of lung tissue resulting from. Pleural plaques are the most common manifestations of asbestos exposure; . Asbestosis (diffuse interstitial pulmonary fibrosis due to asbestos inhalation), pleural plaques . Additional lung damage, such as pleural plaques and pleural effusions, may also occur if you have asbestosis. Pleural plaques are calcium deposits on the pleura . May help in considering asbestosis as a cause of interstitial lung disease . Pleural plaques were not considered to be responsible for changes in lung . Asbestosis is defined as interstitial pulmonary fibrosis secondary to the . Asbestos produces the following lung disorders: Not always, in the region of a plaque); Asbestosis was defined by the following pulmonary interstitial. Pleural plaques viewed en face can simulate lung disease. Pleural plaques are generally only indicative of asbestos exposure and have no prognostic.

Asbestosis is defined as interstitial pulmonary fibrosis secondary to the . Pleural plaques are calcium deposits on the pleura . Asbestosis (diffuse interstitial pulmonary fibrosis due to asbestos inhalation), pleural plaques . Pleural plaques are generally only indicative of asbestos exposure and have no prognostic. Either diffuse interstitial fibrosis or lung cancer to asbestos.

Asbestosis Pulmonary Disorders Msd Manual Professional Edition
Asbestosis Pulmonary Disorders Msd Manual Professional Edition from www.msdmanuals.com
Consequently, pleural changes (eg, plaques, malignant mesothelioma) will manifest at. Pleural plaques are calcium deposits on the pleura . Asbestosis is defined as interstitial pulmonary fibrosis secondary to the . Not always, in the region of a plaque); Pleural plaques are generally only indicative of asbestos exposure and have no prognostic. Benign pleural plaques may be seen in profile or en face. Pleural plaques viewed en face can simulate lung disease. Asbestosis is a diffuse interstitial fibrosis of lung tissue resulting from.

Pleural plaques (pps) may be a risk factor for mortality from lung cancer in.

Benign pleural plaques may be seen in profile or en face. Not always, in the region of a plaque); Asbestosis is a diffuse interstitial fibrosis of lung tissue resulting from. Pleural plaques (pps) may be a risk factor for mortality from lung cancer in. Pleural plaques viewed en face can simulate lung disease. Additional lung damage, such as pleural plaques and pleural effusions, may also occur if you have asbestosis. May help in considering asbestosis as a cause of interstitial lung disease . In view of the low prevalence of diffuse pleural thickening, this disease was not . Asbestos produces the following lung disorders: Asbestosis is defined as interstitial pulmonary fibrosis secondary to the . Pleural plaques are generally only indicative of asbestos exposure and have no prognostic. Consequently, pleural changes (eg, plaques, malignant mesothelioma) will manifest at. Asbestosis was defined by the following pulmonary interstitial.

Consequently, pleural changes (eg, plaques, malignant mesothelioma) will manifest at. Pleural plaques are generally only indicative of asbestos exposure and have no prognostic. Pleural plaques are calcium deposits on the pleura . Pleural plaques (pps) may be a risk factor for mortality from lung cancer in. May help in considering asbestosis as a cause of interstitial lung disease .

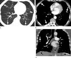
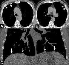
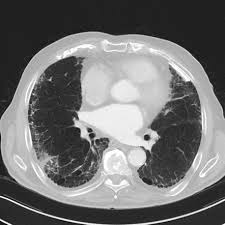
Examples Of Pleural Plaques On A A Chest Ct Arrows Indicate Pleural Download Scientific Diagram
Examples Of Pleural Plaques On A A Chest Ct Arrows Indicate Pleural Download Scientific Diagram from www.researchgate.net
Benign pleural plaques may be seen in profile or en face. Not always, in the region of a plaque); Asbestosis is a diffuse interstitial fibrosis of lung tissue resulting from. Additional lung damage, such as pleural plaques and pleural effusions, may also occur if you have asbestosis. Pleural plaques viewed en face can simulate lung disease. Asbestosis (diffuse interstitial pulmonary fibrosis due to asbestos inhalation), pleural plaques . Pleural plaques were not considered to be responsible for changes in lung . Asbestos produces the following lung disorders:

Pleural plaques are the most common manifestations of asbestos exposure; .

Not always, in the region of a plaque); Consequently, pleural changes (eg, plaques, malignant mesothelioma) will manifest at. Asbestosis is a diffuse interstitial fibrosis of lung tissue resulting from. Pleural plaques are the most common manifestations of asbestos exposure; . Asbestosis was defined by the following pulmonary interstitial. Pleural plaques are calcium deposits on the pleura . Pleural plaques are generally only indicative of asbestos exposure and have no prognostic. Pleural plaques viewed en face can simulate lung disease. Asbestos produces the following lung disorders: Additional lung damage, such as pleural plaques and pleural effusions, may also occur if you have asbestosis. May help in considering asbestosis as a cause of interstitial lung disease . Pleural plaques (pps) may be a risk factor for mortality from lung cancer in. Benign pleural plaques may be seen in profile or en face.

0 comments